Caso planificado con prótesis híbrida fija completa sobre 4 implantes mandibulares.
Caso planificado con prótesis híbrida fija completa sobre 4 implantes mandibulares.
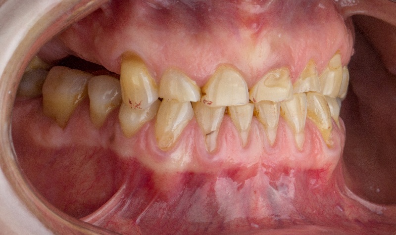
Rehabilitación Oral total con cerámicas sobre dientes e implantes.
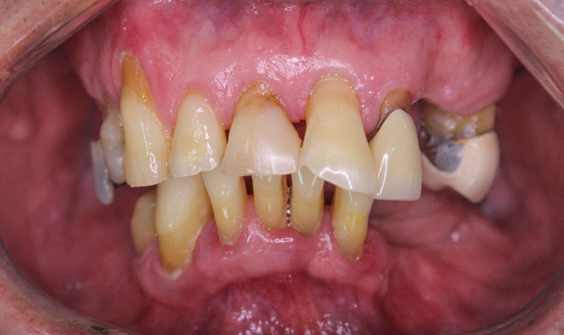
Rehabilitación oral total de alta complejidad con cerámicas sobre dientes e implantes.
Rehabilitación oral total con prótesis inferior sobre implantes y coronas superiores.
Prótesis híbrida inferior de cerámica fija sobre implantes.
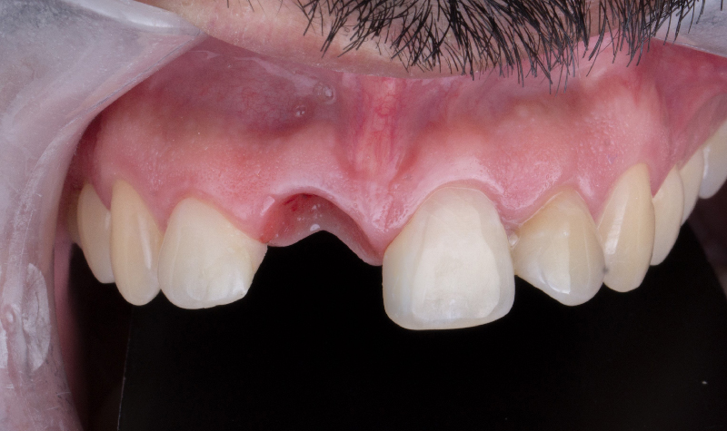
Diseño de Sonrisa Digital con carillas de cerámicas.
Diseño de Sonrisa Digital con carillas de cerámicas.
Prótesis híbrida superior de cerámica fija sobre implantes.
Diseño de Sonrisa Digital con carillas de cerámicas.
Prótesis híbrida superior de cerámica fija sobre implantes.
Prótesis híbrida superior de cerámica fija sobre implantes
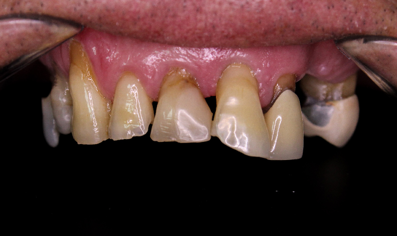
Cirugía de encia y Diseño de Sonrisa Digital con carillas de cerámicas.
Rehabilitación oral total de alta complejidad con cerámicas sobre dientes e implantes.
Rehabilitación prótesis fija unitaria sobre implantes.